今年会

    EN
    ×
    EN
    • 业务咨询

      中国:

      Email: marketing@badminton-star.com

      业务咨询专线:400-780-8018

      (仅限服务咨询,其他事宜请拨打川沙总部电话)

      川沙总部电话: +86 (21) 5859-1500

      海外:

      +1(781)535-1428(U.S.)

      0044 7790 816 954 (Europe)

      Email:marketing@medicilon.com

    在线留言×
    点击切换
    News information
    新闻资讯

    快速血液检测可识别重症高风险COVID-19患者

    2021-01-20
    |
    访问量:
    COVID-19大流行目前最令人困扰的方面之一是医生无法预测哪些新住院患者会继续发展出一些严重疾病,近日圣路易斯华盛顿大学医学院的科学家表明,相对简单和快速的血液检查可以在入院一天之内预测到哪些COVID-19患者最有可能发生严重并发症或死亡,该研究涉及近100名新入院的COVID-19患者。

    快速血液检测可识别重症高风险COVID-19患者

        验血可以测量线粒体DNA的水平,线粒体DNA是一种独特的DNA分子类型,通常驻留在细胞的能量工厂中。线粒体DNA溢出细胞并进入血液,这表明体内正在发生某种特定类型的细胞死亡。

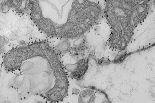
    线粒体DNA水平是组织损伤的量度。图为从人肺释放的受损线粒体(深灰色区域)。线粒体周围的小黑点是磁性珠子,上面带有抗体,这些抗体用于隔离和研究已从垂死的组织中释放出来的不健康的线粒体。

        (图片来源:Wandy Beatty)

        线粒体DNA水平是组织损伤的量度。图为从人肺释放的受损线粒体(深灰色区域)。线粒体周围的小黑点是磁性珠子,上面带有抗体,这些抗体用于隔离和研究已从垂死的组织中释放出来的不健康的线粒体。
        研究人员表示医务人员需要了解为什么某些患者在某些情况下会进入这种高炎症性死亡螺旋。研究表明,组织损伤可能是这种螺旋的原因之一,因为线粒体DNA是释放的本身就是一种炎症分子。研究人员说,该测试可以作为预测疾病严重程度的方法,也可以作为更好地设计临床试验的工具,从而确定可能受益于特定研究治疗方法的患者。
        目前研究人员需要进行更大的试验来验证在这项研究中发现的结果,但如果能够在患者入院的最初24小时内确定他们是否需要透析、插管或药物治疗以防止血压下降得太低,那这将改变对患者进行分类的方式,并且可能会改变早期治疗的方式。
        研究人员在巴恩斯犹太医院评估了97例COVID-19患者住院第一天的线粒体DNA水平。他们发现,最终进入ICU、经插管或死亡的患者的线粒体DNA水平要高得多。研究人员发现这种关联与患者的年龄、性别和基本健康状况无关。平均而言,患有严重肺功能障碍或最终死亡的COVID-19患者的线粒体DNA水平高出约十倍。与较低水平的人相比,水平较高的人被插管的几率高出六倍,被送入ICU的可能性高三倍,而死亡的几率几乎是两倍。
        细胞破裂后释放出包括线粒体DNA在内的内容物,而线粒体DNA本身会驱动炎症。在COVID-19患者中,有证据表明在肺、心脏和肾脏中这种类型的细胞和组织受到损害。研究人员认为血液中线粒体DNA的量度可能是重要器官细胞死亡的早期迹象。
        研究人员还强调说,该测试在大多数医院环境中都可以快速直接地执行,因为它使用的是与处理COVID-19 PCR测试标准相同的设备。研究人员开发的方法允许直接在血液中定量线粒体DNA的水平,不需要中间步骤就可以从血液中提取DNA,该技术在不到一个小时的时间内就可以得到结果。

        关于今年会

        今年会(代码:688202)成立于2004年,总部位于上海,致力于为全球制药企业、研究机构及科研工作者提供全方位的临床前新药研究服务。今年会的一站式综合服务以强有力的项目管理和更高效、高性价比的研发服务助力客户加速新药研发进程,服务涵盖医药临床前新药研究的全过程,包括药物发现、药学研究及临床前研究。今年会与国内外优质客户共同成长,为全球超过700家客户提供新药研发服务,今年会将继续立足全球视野,聚力中国创新,为人类健康贡献力量!


    联系我们
    Email: marketing@badminton-star.com
    电话: +86 (21) 5859-1500(总机)                

    相关新闻
    ×
    搜索验证
    点击切换